Con la distinguida presencia del Dr. Armando Ahued, Secretario de Salud del Distrito Federal, quién inauguró las XLIX Jornadas Médico Quirúrgicas del INER, señaló que es de suma importancia tener revisiones médicas preventivas, para detectar a tiempo padecimientos como la FPI. Dijo sentirse honrado por ser parte de esta celebración, al mismo tiempo que reconoció la labor de quienes integran el personal médico del instituto. “Es un privilegio para la Ciudad de México y el país contar con una institución como el INER, ya que está a la altura de los mejores del mundo en su especialidad, agregó.”
Desde hace varios años ha existido el esfuerzo de diferentes asociaciones de pacientes y de neumología en celebrar el día mundial de la FPI, sin embargo, este año es el primero que el INER unió esfuerzos con médicos especialistas, profesionales e industria para realizar la Primer Caminata para Pacientes con FPI en los jardines del Instituto, para dar a conocer la realidad de quienes conviven con esta enfermedad, así como sensibilizar sobre la problemática de las mismas.
Por ello, El Dr. Moisés Selman, Investigador Emérito del INER, quien por sus notables estudios en este campo ha sido galardonado con el Premio Nacional de Ciencias y el Recognition Award for Scientific Achievement que otorga la Asociación Americana de Tórax (ATS), además de haber aportado avances invaluables a esta enfermedad, hace un llamado para unir esfuerzos para generar conciencia de la importancia de conocer y trabajar para mejorar la calidad de vida de los pacientes que luchan día a día contra la Fibrosis Pulmonar Idiopática.
“Mientras en México la atención se concentra en padecimientos de mayor prevalencia como diabetes o cáncer, existe un rubro no menos importante que necesita ser escuchado: las enfermedades huérfanas que, por su escasa información o registro, son etiquetadas como “raras”, señaló el Dr. Selman.
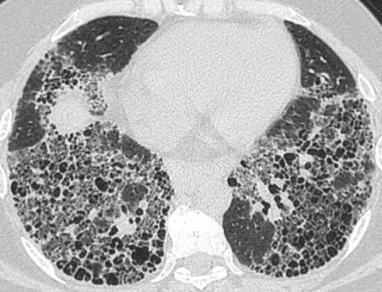
La Fibrosis Pulmonar Idiopática es una enfermedad crónica, progresiva y letal, con una elevada mortalidad de 50% a 3 años posterior del diagnóstico en la historia natural, gravemente incapacitante y, a la larga, letal que en México tiene una incidencia anual estimada de 6 a 8 casos por cada 100,000 habitantes y prevalencia de 14 por cada 100,000 habitantes, en el mismo periodo.
Por su parte, la Dra. Ivette Buendía, investigadora en Ciencias Médicas Nivel “C” del INER, explicó que “se ha favorecido su entendimiento gracias a las investigaciones activas por parte de los médicos que tratan a estos pacientes, lo que ha permitido conocer cada vez más a cerca de su probable etiología y debido a ello a partir de 2014 se cuenta con medicamentos que permiten mejorar el tiempo de sobrevida de estos pacientes”.
Es el caso de nintedanib, considerado por la Food & Drug Administration (FDA) como tratamiento innovador para la Fibrosis Pulmonar Idiopática, que modifica sustancialmente el curso de la enfermedad y reduce su mortalidad hasta en un 50%, pues no solo se ralentiza la progresión de la FPI haciendo más eficaz el funcionamiento de los pulmones, sino que reduce el número de exacerbaciones.
Agregó que la FPI se limita al pulmón, al intersticio pulmonar que rodea a los alvéolos pulmonares, donde se produce el intercambio de oxígeno por dióxido de carbono y viceversa. Este tejido desarrolla cicatrices y se vuelve rígido, sin elasticidad, lo que dificulta la respiración, produciendo un sonido como el que causan las pisadas sobre la nieve, o un crujido como el que emite la separación de una tira de velcro.
Al no ser una enfermedad “frecuente” pero si devastadora que en ocasiones no se hace mención de ella de manera habitual. Se trata de un padecimiento que afecta directamente a la calidad de vida de los pacientes, limitando sus actividades diarias, agregó la Dra. Buendía, por ello, añadió de la importancia de conocer y trabajar en beneficio de la población afectada por esta enfermedad, ya que uno de los principales problemas de la FPI es la dificultad de un diagnóstico certero, pues suele confundirse con otros padecimientos respiratorios.
Aunque el trasplante de pulmón es una alternativa, solo está disponible a un número reducido de personas, además de que en México no existe ningún programa vigente o activo en este campo. Aunque en otros países de América Latina si se encuentra activo y este es el tratamiento en las fases más avanzadas de la enfermedad.
Por qué celebrar el día Mundial de la FPI?
Ambos especialistas concordaron que el manejo de la FPI debe realizarse con apoyo de un equipo multidisciplinario de profesionales de la salud, familiares y de otros pacientes en iguales circunstancias. El Día mundial de la Fibrosis Pulmonar Idiopática, pretende sensibilizar y concientizar a la sociedad, haciendo posible la visibilidad de esta enfermedad respiratoria poco frecuente y de quienes conviven con ella.
Coincidieron en que los días mundiales sirven para conmemorar la fundación de organizaciones y en el caso de enfermedades para concientizar a la sociedad en general de la importancia de conocer y trabajar en beneficio de la población afectada por estas. “Nuestro objetivo es levantar la voz y pugnar para que padecimientos raros como éstos no se queden en el olvido, además de brindar un apoyo a pacientes y familiares
Redacción MD
---------------------------
[1] Primer Consenso Mexicano sobre Fibrosis Pulmonar Idiopática. Neumol Cir Torax, Vol. 75, No. 1, Enero-marzo 2016 http://www.medigraphic.com/pdfs/neumo/nt-2016/nt161e.pdf















