Login to your account

Username *
Password *
Remember Me

Investigación (487)

Ciudad de México. ¿Alguna vez imaginó que el estiércol de gallina, el sargazo o el desperdicio de la cebolla pudiera ser la materia prima de productos de alto valor agregado en el sector energético? Una investigación del Cinvestav Unidad Saltillo está haciendo esto realidad, al emplear esos desechos en la elaboración de biocarbones útiles para baterías, celdas de combustible y supercapacitores, todos dispositivos alternativos en la generación y almacenamiento de energía limpia.

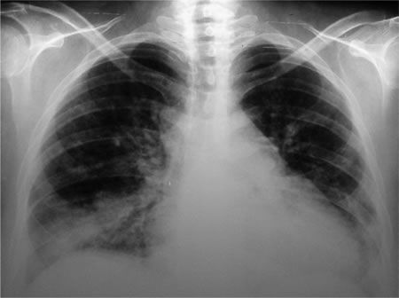
Ciudad de México. Un reciente estudio internacional descubrió que las mujeres que regularmente usan productos de limpieza, en especial aquellos que funcionan como productos profesionales, pueden con el tiempo sufrir un deterioro más rápido de la función pulmonar que las mujeres que no usan esos productos con regularidad. Aunque el estudio no haya examinado ningún producto específico, vale la pena escoger, dentro de lo posible, productos de limpieza con menos sustancias químicas potencialmente tóxicas o productos alternos como vinagre blanco, bicarbonato de sodio o carbonato de sodio. El Dr. Clayton Cowl, Medicina Preventiva, Ocupacional y Aeroespacial de Mayo Clinic aconseja que mantenga bien ventilada el área y nunca mezcle los productos de limpieza. 

Ciudad de México. Aun cuando en los últimos años se ha dado un impulso a las actividades científicas, tecnológicas y de innovación, este se vio disminuido en los últimos años con reducciones importantes al presupuesto del Consejo Nacional de Ciencia y Tecnología (Conacyt), por lo que desde la Academia Mexicana de Ciencias (AMC) se apoyará cualquier iniciativa que reclame el incremento a dichos recursos, dijo José Luis Morán López, presidente de la AMC. 

Ciudad de México. Las plantas poseen la capacidad de producir compuestos que tienen múltiples aplicaciones, por ejemplo, en la medicina y en la agricultura, pero aún hace falta descubrir más sustancias del reino vegetal.

Ciudad de México. La amiba Entamoeba histolytica es un parásito de gran importancia en la salud pública, ya que está relacionada con el desarrollo de un tipo de colitis y, en casos más severos, con la formación de abscesos hepáticos, el cual de no atenderse adecuadamente puede causar la muerte del paciente.

Ciudad de México. Quienes se dedican a la ciencia tienen la obligación de contar a los conciudadanos qué logros obtienen o buscan obtener a través de la investigación que llevan a cabo con sus impuestos, sostiene el cristalógrafo español Juan Manuel García Ruiz.

Ciudad de México. Con el objetivo de motivar el interés de los estudiantes de licenciatura por el quehacer científico a través de estancias que les permiten tener un acercamiento con la investigación, desde el año 2004 el Instituto Científico Pfizer (ICP) y la Academia Mexicana de Ciencias (AMC) establecieron una alianza, en la cual hasta la fecha se han apoyado a 466 estudiantes para que participen en el programa Verano de la Investigación Científica.

Facebook

Contenidos por fecha

« Abril 2026 »
Lun Mar Mier Jue Vie Sáb Dom
    1 2 3 4 5
6 7 8 9 10 11 12
13 14 15 16 17 18 19
20 21 22 23 24 25 26
27 28 29 30      

Ver notas por categoría

Lo + visto

Anuncio en blogs de categorías

Ad Bottom